Имплантация


























Более 30 опытных стоматологов одной сети клиник уделяют внимание каждой детали, чтобы каждый пациент чувствовал себя комфортно и особенным.






























































Пациентка обратилась в клинику с разрушенными зубами. Проведена тотальная реабилитация на четырех имплантатах.


Пациент обратился в клинику с отсутствующими двумя зубами. Проведена имплантация двух единиц.


Пациенту было проведено отбеливание зубов системой ZOOM 4. В первое посещение, которое продолжалось 1,5 часа, был достигнут желаемый эстетический результат.


Пациентка обратилась с рецессиями (опущение) десны после проведенного ранее в сторонней клинике ортодонтического лечения. Выполнено закрытие рецессий тоннельной методикой.


Пациент обратился с агрессивной формой пародонтита с целью сохранить свои собственные зубы. Симптомы — подвижность зубов, гноетечение, воспаление десен. Проведено шинирование зубов и лоскутная операция во всех сегментах с целью стабилизации пародонтита. Результат спустя год.


Тотальная реабилитация пациента сроком в 1,5 года. Были проведены терапевтическое лечение, ортопедическая реабилитация винирами и керамическими коронками.


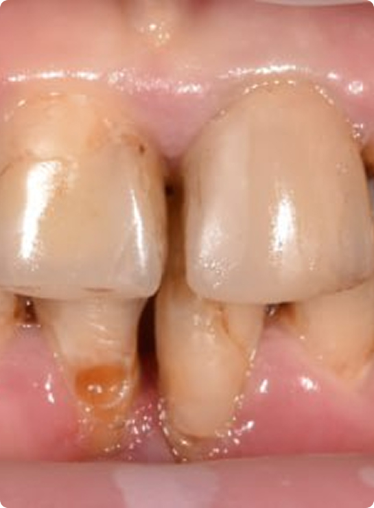
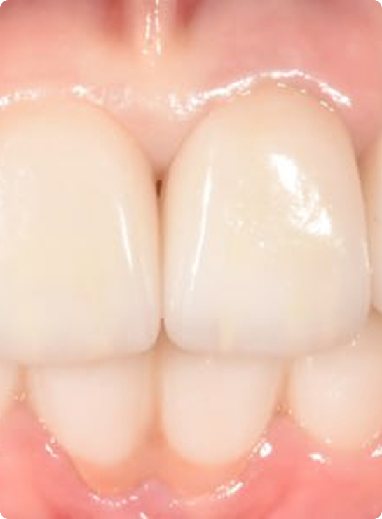
Пациент обратился по поводу замены композитных виниров, которые постоянно деформировались, часто требовалась коррекция, образовывался вторичный кариес и воспалялись десны. Чтобы предотвратить повторное формирование кариеса и систематические коррекции пломб, была выполнена обработка зубов под керамическую реставрацию.


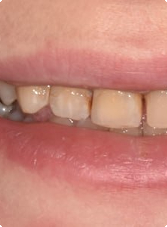
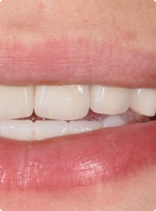
Пациентка обратилась с жалобой на неровность зубов, чрезмерный наклон верхних передних зубов. Также ранее была установлена коронка на имплантате в условиях дефицита места.


Пациентка обратилась с отягощенным анамнезом и показателями анализов, которые отклонялись от нормы. Это был сложный случай, за который не брались врачи из других клиник. Пациентке с успехом были проведены все необходимые процедуры и керамическая реставрация зубов.



Замечательная клиника и персонал! Лечение прошло быстро и главное, безболезненно. Во время процедур постоянно спрашивают, все ли нормально. Еще ни водной из клиник не встречала такого отношения к пациентам.
Хороший врач, отличная клиника, спасибо, приду еще !
Замечательная клиника, профессиональные врачи
Не очень доволен от посещения. В результате манипуляций и установки коронок, врач задел ваткой с адгезивом язык, было сильное жжение как от ацетона и дискофорт, а смыл его после 2-3 минут. В результате я получил ожог, жжение и боль на языке, уже несколько дней не проходит. Мало того я заметил белые полосы на языке, и вернулся повторно к врачу. Он обнаружил пломбировочный материал на языке и не извинился, а потом счищал этот налет лопаткой. И сказал, что это нормально, бывает адгезив попадает на язык, ничего страшного, он безопасный.
Я ушел и остался недоволен, таким отношением и язык до сих пор не прошел. Покраснение и боль остались. Потерял время на повторную беготню.




Гордимся многолетними традициями и профессиональным подходом в предоставлении всех видов современной стоматологической помощи.
Доверили нам здоровье своих зубов. Мы следим за новыми технологиями и методиками в стоматологии, чтобы предлагать только безопасные и проверенные решения.



Центры стоматологий с новейшим оборудованием, где используют передовые технологии для лечения и имплантации зубов.
Более 30 докторов со средним опытом работы от 10 лет, тысячи пациентов со счастливыми улыбками и здоровыми зубами.
Стоимость услуг стоматологии держится в районе рыночных цен, посмотрите прайс и получите скидку на первый визит.



В YourMed используется современное оборудование для точной диагностики и комфортного лечения. КТ, ОПТГ и ТРГ проводим на южнокорейском Vatech Green 16×9, а внутриротовое сканирование — на немецком Sirona PrimeScan. Комфорт пациентов обеспечивают итальянские установки OMS Linea Patavium.

Высокоточная 2D- и 3D-диагностика с возможностью сканирования моделей. Обеспечивает детализированные снимки челюстно-лицевой области, включая суставы.

Фиксирует более 1 млн 3D-точек в секунду, создавая сверхчёткие и фотореалистичные цифровые оттиски для точного протезирования.

Современные кресла с продуманной эргономикой. Гарантируют комфорт пациента и удобство врача при проведении всех видов лечения.

Для обследования сложных витиеватых каналов. Лечение зубов, имеющих необычную анатомию. Контроль очищения корневых каналов в эндодонтии.





Раньше стоматология была «аналоговой»: снимали слепки, отливали модели, вручную изготавливали коронки и только потом примеряли. Сегодня этот процесс кардинально изменился.
Цифровая стоматология — это когда вместо слепков зубы сканируют с помощью специальных 3D-сканеров, создают виртуальную модель и просчитывают все размеры в программе. Файл отправляется в лабораторию в электронном виде, где на 3D-принтере или фрезеровочном станке изготавливается идеально точная коронка или протез. Врач получает готовую работу и устанавливает её сразу, без долгих переделок и ошибок.
Главное преимущество — точность, скорость и комфорт для пациента.
Отсутствие даже одного зуба запускает цепочку проблем. Челюсть постепенно деформируется, соседние зубы смещаются и быстрее стираются, повышается риск кариеса. Со временем нагрузка на желудок возрастает: пища пережёвывается хуже, страдает пищеварение, а дальше — и весь желудочно-кишечный тракт.
Своевременное восстановление зубов — это не только эстетика, но и здоровье всего организма.
На цену влияет:
Современное оборудование и качественные материалы стоят дорого, поэтому серьёзная клиника не может работать по «сильно заниженным» ценам.
Да, но такие реставрации обычно служат меньше.
Можно сэкономить, выбрав государственную клинику или более доступные материалы, но нужно понимать: пломба или протез прослужат меньше, чем премиальные аналоги. Решение всегда за пациентом: лечить «дёшево и на пару лет» или «дороже, но надолго». Главное — чтобы врач был квалифицированным и работал на оборудовании, которое обеспечивает безопасность и точность.