Что такое коронка
Если говорить очень обобщенно, то это ортопедическая конструкция, которая закрывает «коронковую» (верхнюю) часть зуба или ее отдельную поверхность. Сразу может возникнуть вопрос: что означает слово «коронковая»?
Отвечаю: это видимая часть зуба, состоящая из эмали и дентина. Если вы сейчас посмотрите в зеркало на свои зубы, первое, что попадется вам на глаза — это их «коронковая» часть.
В здоровом состоянии она защищает внутреннюю (более чувствительную) часть зуба от механического воздействия (например, в момент приема пищи), однако если зуб поврежден, тут ничего не поделаешь — его обязательно нужно защитить.
Кто-то сравнивает зубную коронку с «колпачком» или «футляром» и такая аналогия кажется здесь вполне уместной.

«Принцип действия»
коронки
Как мы уже поняли, ключевая функция коронки состоит в защите, однако не только в ней. Фактически она позволяет воссоздать изначальные очертания здорового зуба и сейчас я объясню, зачем это нужно.
Помимо эстетической составляющей (что отнюдь не маловажно), естественная форма зуба позволяет правильно распределять жевательную нагрузку на челюсти во время приема пищи. Например, если ваш зуб сильно поврежден кариесом и у него осталось совсем мало здоровых твердых тканей, то коронка из современного и качественного материала легко вернет вам красивую улыбку.
К слову, после удаления зуба его также восстанавливают коронкой, только она устанавливается на имплантат – искусственный корень, вживленный в челюсть. Поэтому имплантат и зубную коронку путать не стоит.

Зачем устанавливается
зубная коронка
Защитная функция — первая и основная. Однако есть еще несколько причин, почему стоматолог вам может порекомендовать ее установить:
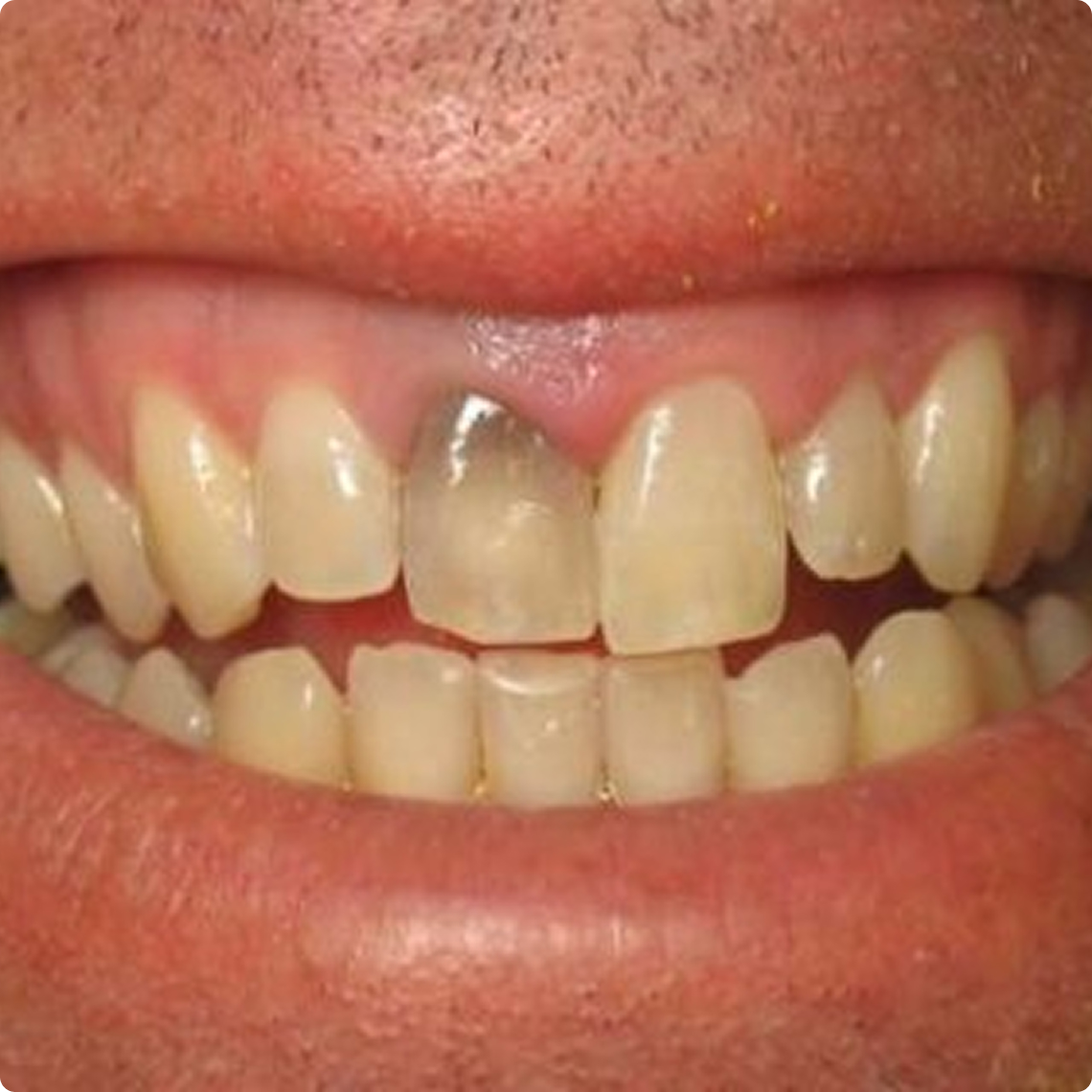
Восстановить разрушенные, измененные в цвете зубы. Кажется, что это мелочь, и все же измененные в цвете и «подпорченные» зубы могут сильно портить улыбку, это очень важно.
Надежно закрепить мостовидный протез. Не будем погружаться в детали, но ключевая задача коронки в этой связи — обеспечивать устойчивость конструкции.
Скрыть недостатки эмали (пятна, потемнения). Опять же к вопросу о потемнении. Здесь коронка помогает восстановить эстетику улыбки.
Защитить зубы от стирания. В том случае, если зуб еще недостаточно сильно поврежден, но слой эмали при этом очень тонкий. Обычно при тонкой эмали зубы особенно сильно реагируют на жар и холод.

Какие коронки
вам могут предложить
Существует, как минимум, несколько наиболее распространенных материалов, которые успешно себя зарекомендовали в изготовлении коронок, в повседневной жизни их еще называют «металлическими» и «керамическими». Подчеркну, что это очень обобщенные понятия и здесь важно описать эти виды чуть более конкретно. Давайте это сделаем.
Какой бы вы ни выбрали материал коронки, вы должны помнить, что «жить с ней» именно вам. Рекомендую подойти к этому вопросу очень ответственно.

Когда устанавливается зубная коронка?
Но я вам скажу так: ни один уважающий себя специалист, ни одна авторитетная клиника не может позволить себе такой «роскоши», как установить коронку на зуб с кариесом – именно поэтому перед процедурой стоматолог обязательно очищает зуб от поврежденного костного материала.
В противном случае эффекта от коронки попросту не будет.

Как изготавливают коронки
Следовательно, нельзя просто взять некий «шаблон» и установить его на поврежденный зуб. А раз так, то каждая коронка изготавливается индивидуально для каждого пациента.
Так, после лечения зуба и снятия слепков доктор отправит вас домой — ждать изготовления постоянной коронки. На это время можно установить временную конструкцию из пластмассы, чтобы защитить зуб и не стесняться несовершенства своей улыбки.
В это время слепки ваших зубов передаются в зуботехническую лабораторию, где техник приступает к изготовлению конструкции. Он моделирует будущую коронку на компьютере, а потом передает данные на фрезер, который самостоятельно вытачивает конструкцию из цельного блока керамики или циркония.

Возможно, я кого-то удивлю, однако вы должны знать, что будущая коронка запекается в печи при высокой температуре — именно так она приобретает свою прочность.
В случае изготовления протеза из металла или диоксида циркония с покрытием из керамики техник наносит эстетический слой на каркас вручную, воссоздавая оттенки натуральной эмали.
Для этого в его арсенале есть набор оттенков керамического слоя, цвет которого вы подбираете с доктором на приеме по специальной шкале.

Бывает ли так, что коронка не подходит с первого раза?
Да, безусловно. Однако такие случаи в нашей практике встречаются крайне редко. Так или иначе нашим пациентам мы всегда производим процедуру «примерки» готовой конструкции. Здесь очень важно учитывать то, насколько пациенту удобно или неудобно смыкать челюсти, чувствует или не чувствует он какой-то дискомфорт. Если все хорошо и дискомфорт полностью отсутствует, значит, оттиск коронки полностью соответствует индивидуальным физиологическим особенностям прикуса, о которых я писала выше.
При этом, если чувство дискомфорта все же есть, то коронка в обязательном порядке отправляется на доработку. В любом случае, финальной частью установки коронки будет повторная процедура обжига (уже окончательного) и глазурования. Далее уже подготовленная коронка устанавливается на очищенный и просушенный зуб с помощью специального стоматологического цемента.
Сама работа длится недолго — всего несколько минут!





































































