Что такое отбеливание
Amazing White
Методика основана на использовании активного геля с перекисью водорода, который эффективно удаляет пигменты и стойкие загрязнения. Благодаря щадящему воздействию, отбеливание подходит даже для чувствительных зубов, а результат сохраняется до 24 месяцев при соблюдении рекомендаций по уходу.

Как проходит
отбеливание Amazing White
(01) Подготовка
(03) Отбеливание
(02) Защита десен
(04) Завершающий этап
Особенности технологии
Amazing White
(01) Химическое отбеливание
(02) Фотохимическое отбеливание
Стоимость отбеливания
Amazing White
Портфолио и кейсы врачей


Имплантация «Все на 4 имплантах»


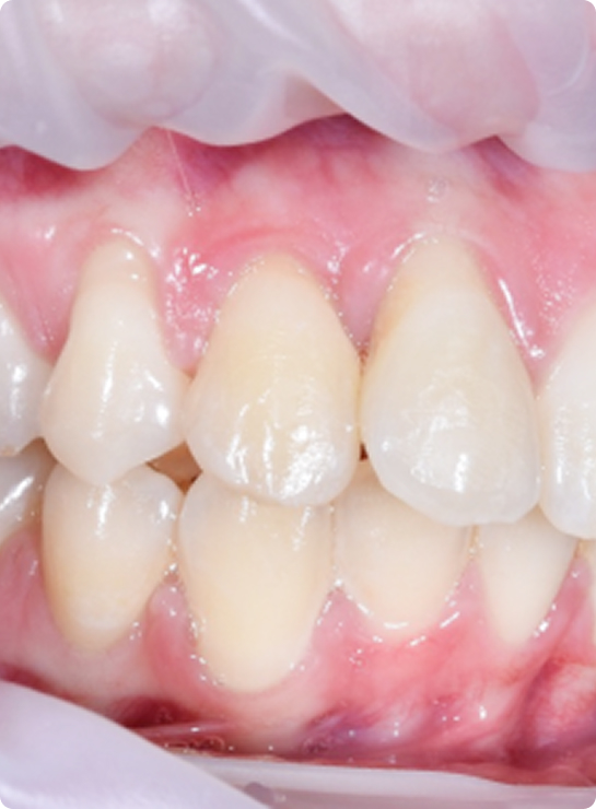
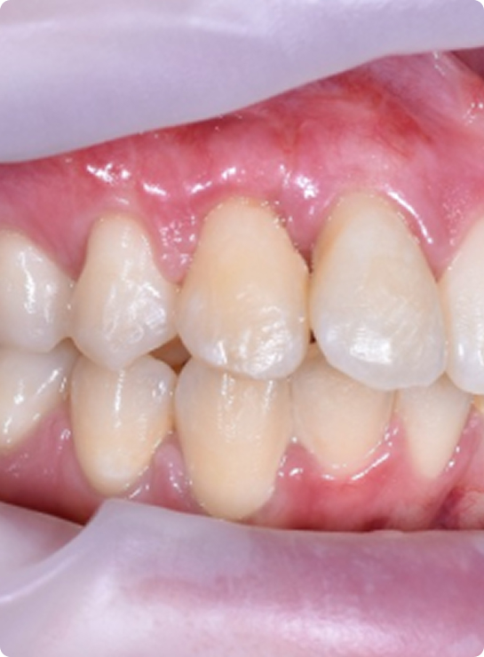
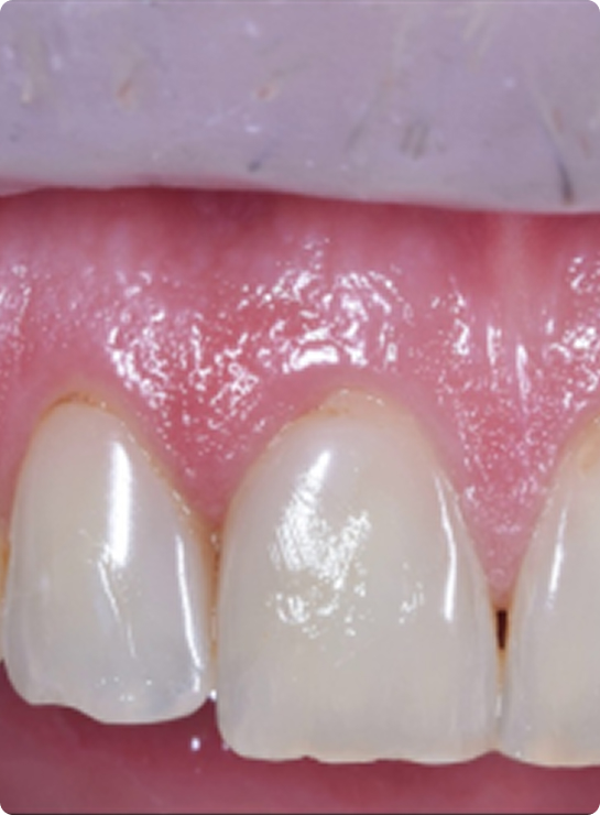
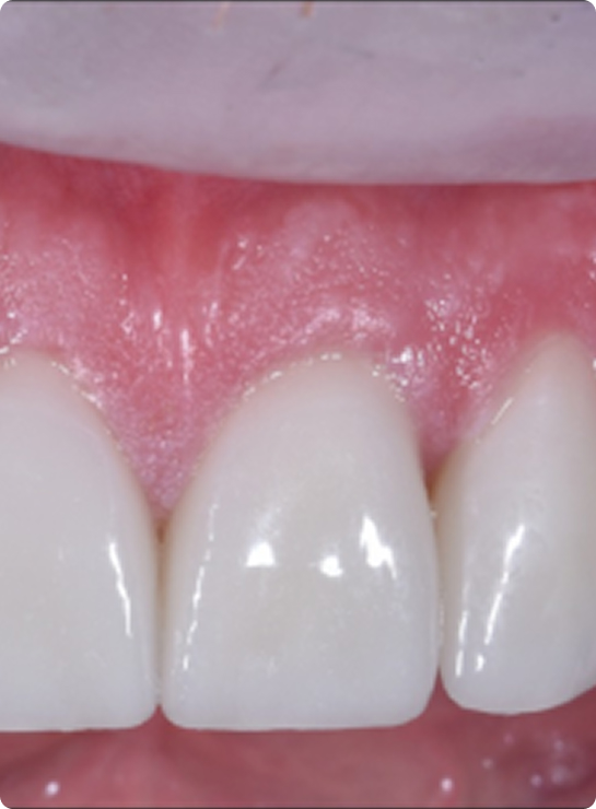
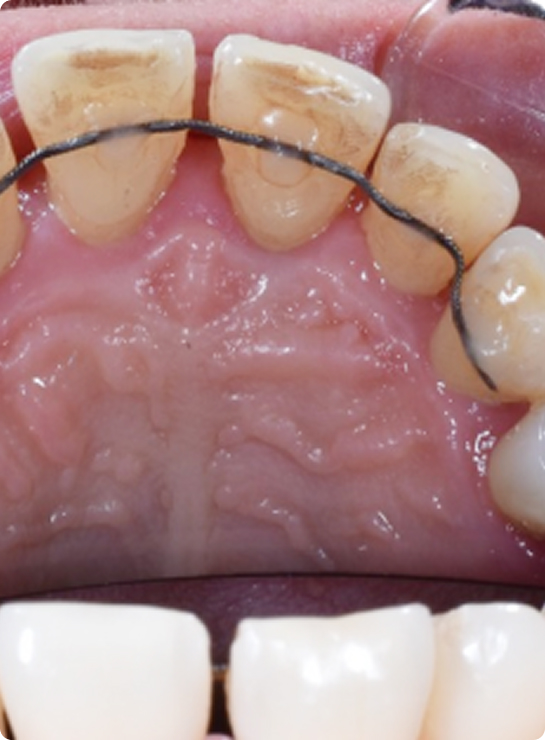
Тоннельная методика закрытия рецессий десны


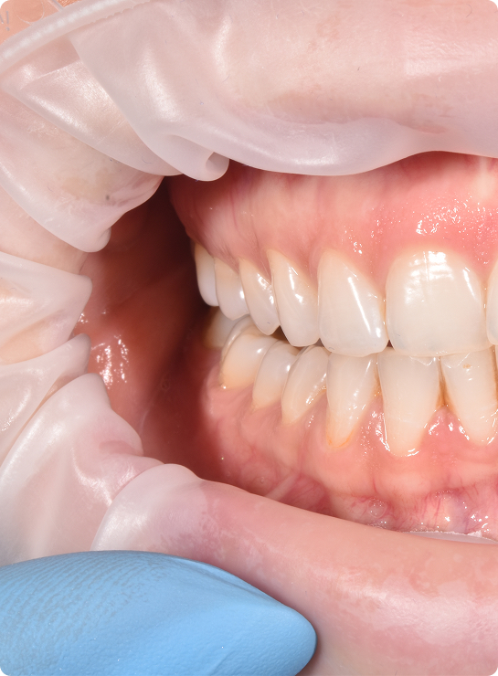
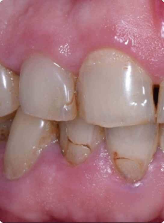
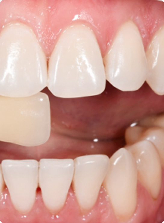
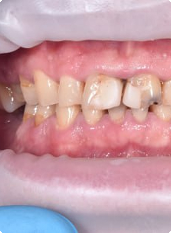
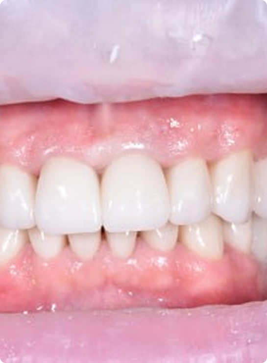
Эстетическая и функциональная реконструкция зубов


Протезирование зубов с уровня имплантатов


Протезирование зубов


Лечение и профилактика


Имплантация


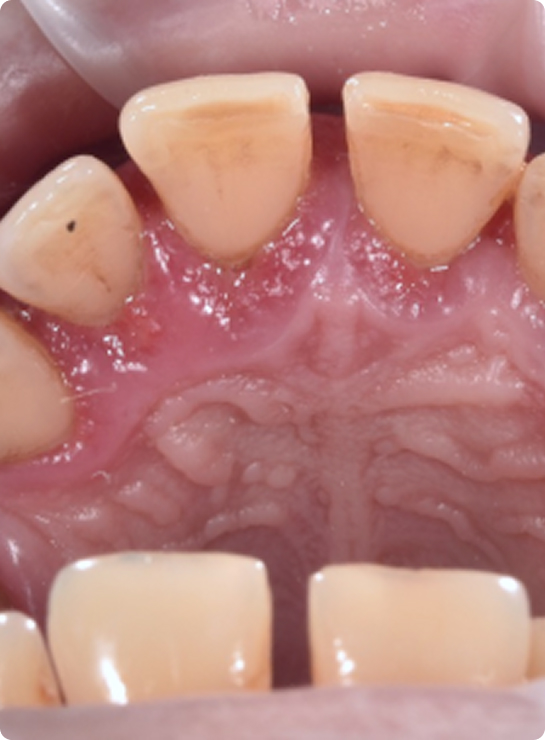
Лечение пародонтита


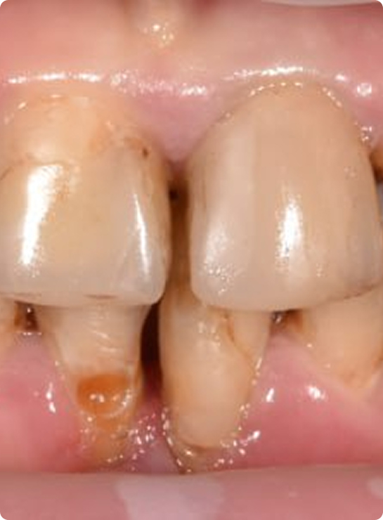
Установка имплантов, керамическая реставрация


Керамическая реставрация зубов
Почему выгодно
и безопасно в YourMed
Без сюрпризов — никаких скрытых платежей, звездочек и условий «мелким шрифтом»
Фиксированная цена — стоимость на сайте и в клинике всегда совпадает



















